Артроз представляет собой опасное заболевание, которое затрагивает суставы человека и приносит интенсивные болевые ощущения. Для того чтобы предотвратить его прогрессирование, важно распознать болезнь на ранней стадии. Эффективным методом диагностики является рентгенография, которая помогает определить стадии заболевания.
- Артроз коленного сустава проявляется изменениями в суставном хряще и подлежащих тканях.
- Снимки показывают истончение хряща и сужение суставной щели.
- Могут наблюдаться остеофиты (костные шипы) и изменение контуров суставных поверхностей.
- На рентгенограммах также могут быть видны изменения в костной структуре, включая кисты и склероз.
- Определение стадии артроза основано на рентгенологических находках и их клинических проявлениях.

Изменения, что предшествуют артрозу
Артрозу предшествуют дистрофические изменения, возникающие в тканях хряща суставов. В результате этого хрящи теряют свою эластичность и покрываются плотным волокном. Их поверхность становится матовой, и на ней появляются трещины. Со временем покров испытывает значительное разрушение. Кости, соединяющиеся между собой, при трении начинают соприкасаться, что приводит к утрате их основной функции.
Как эксперт в области медицинской визуализации, я могу с уверенностью сказать, что снимок коленного сустава с артрозом демонстрирует характерные изменения, которые значительно помогают в диагностике данного заболевания. На рентгенограммах мы часто можем увидеть сужение суставной щели, что является одним из основных признаков артроза. Также в изображениях могут быть замечены остеофиты – края костей, которые образуются как результат хронического воспаления и износа сустава. Эти изменения говорят о прогрессирующем разрушении хряща и сопутствующих структур.
Кроме того, важно отметить, что различные стадии артроза могут различаться по уровню выраженности этих признаков. На начальных стадиях может наблюдаться минимальное сужение суставной щели и незначительные остеофиты, тогда как при более выраженной стадии наблюдается значительное разрушение хрящевой ткани, а также выраженные изменения в костной ткани вокруг сустава. Эти визуальные данные позволяют врачам не только ставить диагноз, но и определять степень тяжести заболевания, что критически важно для выбора эффективной терапии.
Немаловажным аспектом является и возможность использования других методов визуализации, таких как магнитно-резонансная томография. Этот метод позволяет получить более детальное представление о состоянии хрящевой ткани и мягких структурах, что дает возможность выявить изменения на более ранних стадиях. Таким образом, правильно выполненное и интерпретированное исследование коленного сустава с артрозом является ключом к успешному лечению и улучшению качества жизни пациента.
На границах костей можно наблюдать разрастания. В хрящах отсутствуют болевые рецепторы, поэтому до определённого момента люди не ощущают дискомфорта.
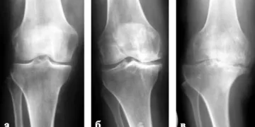
Изображения на разных этапах патологии
На ранней стадии заболевания рентгеновский снимок демонстрирует незначительное сужение суставной щели. Это можно определить, сравнивая с параллельным суставом. Причиной этого является дистрофия хрящей.
На втором этапе артроза изображение показывает более заметное сужение суставной щели, которое может быть значительно меньше, чем у здорового сустава. На снимке видно, что хрящи повреждены в тех областях, где на них было оказано значительное давление. Костные разрастания становятся отчетливо видимыми. В районе, где щель значительно сужена, развивается остеосклероз. Эти изменения указывают на наличие остеохондроза.
На последующей стадии рентгенографическое исследование демонстрирует явно выраженные признаки патологии. Хрящи почти полностью разрушены. Наблюдается деформация суставных поверхностей. Из-за увеличения площади разрастаний происходит уплотнение тканей.
Для чего нужны снимки
В областях с высоким уровнем нагрузок можно зафиксировать заметное уплотнение костной ткани. На изображении видны очаговые образования в форме кист. Применяя данный метод, можно наблюдать:
• наросты на краях костей;
• изменения, происходящие в суставных щелях;
• уплотнения, находящиеся в суставах.
Рентгеновский снимок позволяет увидеть картину, отражающую прогрессирование артроза. Благодаря полученным снимкам фиксируют уплощение поверхностей суставов и костей.

Как-то раз моя бабушка обратилась ко мне за помощью. Она долго жаловалась на боли в коленях. Врач направил её на рентген, и когда мы получили снимок, я увидел, как сустав был сильно деформирован. Это как будто были тёмные пятна вокруг колена, показывающие, что хряща там практически не осталось. Бабушка переживала, но врач сказал, что с этим можно что-то делать, и это вселило в неё надежду.

Я сама столкнулась с артрозом, когда мне было около 40 лет. Снимок коленного сустава действительно меня ужаснул. Жутко видеть, как сустав разбит, и там, где раньше был ровный контур, появляются неровности. Я не могла поверить, что это колено некогда было здоровым. Врач объяснил мне все детали, что видно на снимке, и я поняла, что нужно срочно начинать лечение.

Мой отец последнее время начал жаловаться на боли в коленях. Мы сделали рентген и увидели на снимке ужасные изменения. Суставы словно были «съедены». Отец всегда был активным человеком, и мне было очень тяжело видеть его в таком состоянии. Врач показал, как на снимке четко видны узкие щели между костями, что свидетельствует о том, что хряща уже почти не осталось. Теперь он проходит физическую терапию и следит за весом.
Вопросы по теме
Как изменяются костные структуры в коленном суставе при артрозе?
При артрозе коленного сустава происходит несколько ключевых изменений в костных структурах. Прежде всего, наблюдается уменьшение хрящевой ткани, которая служит амортизатором между костями. Это приводит к трению костей друг о друга, что может вызвать образование остеофитов — костных выступов, которые часто видно на рентгеновских снимках. Также может происходить выравнивание суставных поверхностей и увеличение плотности костной ткани вокруг сустава из-за адаптационных процессов.
Как современные методы визуализации помогают при диагностике артроза коленного сустава?
Современные методы визуализации, такие как магнитно-резонансная томография (МРТ) и компьютерная томография (КТ), предоставляют детальную информацию о состоянии коленного сустава при артрозе. МРТ, например, позволяет увидеть не только изменения в костной ткани, но и состояние мягких тканей, таких как связки и мениски. Это помогает врачу более точно оценить степень повреждения и выбрать оптимальный метод лечения. Рентгенография, с другой стороны, остается наиболее доступным и быстрым методом для первоначальной оценки состояния суставов и выявления основных признаков артроза.
Что можно увидеть на рентгеновском снимке коленного сустава при разных стадиях артроза?
На рентгеновских снимках коленного сустава в начальной стадии артроза могут отмечаться легкие изменения, такие как сужение суставной щели и начало разрушения хряща. По мере прогрессирования заболевания становятся видимыми более серьезные изменения: утрата хряща приводит к увеличению костного контакта, образованию остеофитов и изменению контуров костей. На поздних стадиях рентгенография может показать обширные разрушения коленного сустава, а также деформацию и изменение положения костей. Важно отметить, что степень выраженности симптомов не всегда коррелирует с величиной изменений на снимках — у некоторых пациентов с серьезными рентгенологическими проявлениями может быть лишь незначительный болевой синдром, в то время как у других с минимальными изменениями может быть выраженная боль.




